
脉讯速览
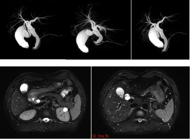
44岁的张女士近一个月常感到上腹部闷痛,饭后腹胀明显,有时还恶心反胃。在社区医院做超声检查后,医生发现她的胆囊内有结石,建议进一步确诊。怀着忐忑的心情,她来到辽宁影像中心,医生推荐她做一项名为“MRCP”的无创检查。检查时,她只需屏住呼吸17秒,没有任何疼痛感就完成了扫描。报告显示:胆囊多发结石合并胆囊炎,胆总管也出现了扩张。这份报告为她后续的治疗方案提供了关键依据。
MRCP检查技术:
原理:MRCP(磁共振胰胆管水成像)利用水在磁共振重T2WI序列中呈高信号的特点,清晰显示胆汁充盈的胆管和胰管结构。
优势:无创、无辐射、无需注射造影剂(部分情况除外),分辨率高,可立体呈现胆道系统全貌。
操作:本例采用屏气扫描,仅需17秒,减少运动伪影,提升图像质量。
影像表现分析:
胆囊多发结石:图像显示胆囊内多个结节状短T2信号(结石在MRI中呈低信号暗影)。
胆总管扩张:胆总管直径增宽(正常值≤8mm),提示可能存在结石梗阻或炎症狭窄。
胆囊炎:胆囊壁增厚或周围渗出等间接征象。

为什么结石会引发腹痛?
胆囊结石由胆固醇或胆色素沉积形成。当结石卡在胆囊颈部或掉入胆总管时,会阻塞胆汁流动,引发胆囊痉挛(剧痛)、胆汁淤积(腹胀)、细菌感染(胆囊炎),甚至诱发胰腺炎。
MRCP为何是“黄金检查”?
无创替代传统检查:过去需做ERCP(内镜逆行胰胆管造影),属有创操作且可能引发胰腺炎;MRCP无创且安全性高。
精准显示隐蔽病变:对胆总管下端结石、胰管病变的检出率显著优于超声和CT。
手术规划利器:能清晰展示结石位置、胆管狭窄段,为腹腔镜或ERCP取石提供“路线图”。
发现结石后该怎么办?
无症状小结石:定期复查超声,控制饮食(少油腻)。
胆囊切除术:多发结石易复发,切除胆囊是根治方案。
ERCP取石:若结石已掉入胆总管,需优先取出以避免胰腺炎。
提示:胆总管扩张是危险信号!可能引发梗阻性黄疸、化脓性胆管炎,需尽快干预。

