
近日,一则喜讯从国际美容整形外科学会(ISAPS)传来:北京一脉阳光影像中心团队与中日友好医院合作完成的研究成果——《耳后透明质酸注射后致面瘫的MRI表现》,正式发表于该学会官方期刊 Aesthetic Plastic Surgery。
这是国际上首次系统描述“精灵耳”注射后罕见并发症——急性面神经麻痹的MRI特征。研究通过对15例患者的3.0T高分辨率MRI分析,精准揭示了面神经损伤的“节段性强化”模式,并锁定透明质酸的广泛扩散路径,为这类难治性面瘫的病因推断、手术决策提供了关键的影像学依据。
基于此,集团战略品宣部特别对话参与本论文研究的影像医生贺鑫,以及两位一线影像技师张美丽、李志强。来详细聊聊当下非常流行的“精灵耳”手术背后的风险;同时,也特别邀请了北京影像中心主任倪佳眉,针对此项研究背后的科研力量和人才培养规划,谈谈她的思考。
战略品宣 | 记者:“精灵耳”注射近年来在医美市场悄然走红,但伴随而来的面瘫并发症却鲜少被系统研究。请您先为我们介绍一下,团队是如何关注到这一临床现象的?是否可以为我们分享一下您印象中记忆比较深刻的案例?

贺鑫 | Xin He
北京影像中心医生
随着医美普及率的提升,来北京中心做医美MRI检查的顾客越来越多,其中我对一例35岁女性患者印象比较深刻。
那天她来中心做检查的时候右脸僵硬,说话有些含糊,用手扶着右侧脸颊,眼神里满是焦虑但又抱着期待。一个月前,她在某医美机构做了当下流行的“精灵耳”注射——耳后透明质酸填充,希望让耳朵从正面看起来更立体,脸显得更小。然而,术后几小时,她的右脸就动不了了。当时她以为只是麻药没过,结果第二天照镜子,喝水漏水,眼睛闭不拢,才慌了。
她辗转多家医院,接受了透明质酸溶解酶注射、针灸、甲钴胺营养神经治疗…一个月过去,右脸依然毫无起色。针对她的面诊主诉,在北京中心做了MRI颌面部平扫+增强+神经成像,发现右侧面神经乳突段、腮腺段增粗、信号增高,考虑右侧面神经炎。

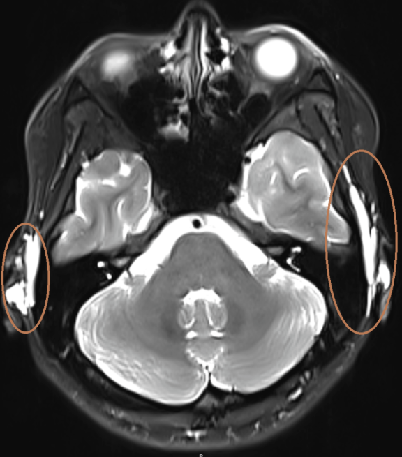
▲双侧耳后条片状T2压脂序列高信号填充物

▲右侧面神经重建图像显示右侧面神经乳突段、腮腺段增粗、信号增高
贺医生谈到,常规的保守治疗,比如透明质酸溶解酶的应用,虽然能够去除部分注射物,但是有些残留透明质酸仍然会对面神经造成物理压迫,导致面神经肿胀、神经损伤,或者对面神经产生刺激,引起面神经的炎症、粘连、肉芽肿形成,保守治疗效果不显著。
战略品宣 | 记者:论文中“结果”有一个非常关键的发现——与未受累侧相比,患侧面神经的鼓室段、乳突段和腮腺段显示出显著强化。这个发现与面瘫传统病因(贝尔氏麻痹和拉姆齐-亨特综合征)表现并不相同。请说明,为什么这种“节段性强化”如此重要?它帮助我们排除了哪些病因假说,又指向了哪种新的病理机制?
贺鑫 | Xin He
北京影像中心医生
贝尔氏麻痹病因由不明原因的面神经非感染性炎症、水肿,多与受凉、疲劳、免疫紊乱相关;发病机制为面神经管内神经水肿、受压,无异物、无栓塞、无感染;
拉姆齐-亨特综合征病因由水痘-带状疱疹病毒再激活,侵犯膝状神经节;发病机制为病毒感染+炎症,有明确病毒学诱因。
透明质酸注射相关面瘫病因由医源性操作并发症,耳周/耳后注射导致;发病机制为血管内注射-动脉、静脉栓塞;局部过量/高压注射——物理压迫、肿胀、神经损伤;异物(透明质酸)+炎症粘连、肉芽肿形成。
面神经节段性强化有助于判断面神经损伤的病因,例如贝尔氏麻痹、拉姆齐-亨特综合征面瘫通常影像上表现为面神经从内听道段开始的多节段强化,且强化主要集中在迷路和膝状神经节段;
耳后透明质酸注射后面瘫的特征为面神经强化仅局限于鼓室段及其远侧,这一特征提示其损伤模式并非随机的多灶性炎症,而是与局部解剖结构和血管供血路径密切相关,且与耳后动脉茎乳支的供血区域高度吻合(从面神经水平段至茎乳孔远侧)。
战略品宣 | 记者:研究中使用了3.0T MRI扫描面神经节段,并通过影像数据进一步为治疗方案提供信息。请您从专业影像技术的角度,为我们解释一下:MRI在显示软组织、神经、填充剂方面的独特优势是什么?如果没有MRI,这类并发症的评估可能会陷入怎样的盲区?
贺鑫 | Xin He
北京影像中心医生
3.0T MRI 凭借高软组织分辨率、面神经全程可视化、填充剂特征显影、血管血流评估,成为精灵耳注射后面瘫病因判断、机制分型、精准定位、方案制定、疗效随访的核心影像工具。
机制不明、定位不清、方案盲目、预后难判——这是全面的盲区。很多患者之所以保守治疗失败、甚至遗留永久性面瘫,一个重要客观原因就是没有在早期做精准的影像评估。
论文最后提到一个重要概念:面神经减压术。而决定“何时开刀、从哪里开刀”的关键依据,恰恰来自MRI。对于李女士这样的患者,保守治疗已经无效,下一步怎么办?贺鑫医生将其总结为四个“看”:
看神经:增粗、强化、水肿严重程度→ 判断是否濒临坏死、是否急需手术;
看压迫:有没有玻尿酸团块、包膜、肉芽肿→ 决定保守是否注定无效;
看血管:有没有栓塞、回流障碍→ 判断缺血严重程度与时间紧迫性;
看节段:哪一段信号最异常→ 确定手术入路与减压范围。
“MRI不再是辅助检查,而是手术方案的‘导航地图’。”贺鑫医生说,“它实现了从‘盲治盲手术’到‘影像引导下精准面神经减压’的升级,是大幅提高这类难治性面瘫疗效的关键。”
每一张清晰的图像背后,都站着一位“看不见”的守门人。
在本篇论文背后,还有2名影像技师在为图像质量保驾护航。
战略品宣 | 记者:作为中心的影像技师,您如何看待“精准扫描是影像医生准确看片的前提”这句话?结合本次研究,如果当时扫描出来的图像存在伪影、或者神经边缘模糊,后续的影像诊断、病因推断乃至治疗决策可能会受到怎样的影响?通过参与本次研究,您对影像技师在临床科研中的角色有没有新的理解?

张美丽 | Meili Zhang
北京影像中心技师
“我非常认同‘精准扫描是影像医生准确看片的前提’这句话。技师是图像的生产者,医生是疾病的捕捉者。我们不直接写诊断报告,但我们决定了医生能看到什么、看清什么。影像是临床的眼睛,而技师就是这双眼睛的‘把门人’。”
在如果图像出现伪影或神经边缘模糊,后果是连锁性的:
诊断层面:面神经的细小强化被掩盖,病变部位无法精确定位;
病因层面:可能将医源性面瘫误判为普通贝尔麻痹,混淆因果关系;
治疗层面:医生无法判断是否需要手术减压,患者可能错失最佳干预时机。
“一图失真,全盘皆误。”张美丽说,“技师绝不只是‘按按钮的操作者’,更是科研质量的第一责任人。”
另一位技师李志强,则回忆了研究过程中的挑战:

李志强 | Zhiqiang Li
北京影像中心技师
“这类患者术后常有面部麻木、抽动,配合度参差不齐,稍微一动就是伪影。面神经又细又深,一旦出现运动干扰,关键节段的显示就会模糊。”
而后处理的技术门槛同样不低。“神经走行复杂,光靠原始图像看不清楚。我们需要扎实的解剖功底,精准定位受累节段,再通过曲面重建、多平面重建把三维数据转化成医生能直观判读的图像。”
在这个过程中,我们和临床医生的配合贯穿全程,每做完一例,双方都会全面复盘——图像清不清楚、参数要不要调、后处理有没有优化的空间,一点点打磨流程。到了论文撰写阶段,分工也很明确:临床医生负责讲清楚“这个发现有什么意义”,我们影像团队则负责呈现“这个发现是怎么被精准捕捉到的”,提供扎实的影像证据和技术说明。
可以说,正是这种“临床提需求、影像想办法”的紧密协作,才让这15例罕见病例最终变成了一篇高质量论文。
战略品宣 | 记者:这项研究是国际上首次系统描述耳后透明质酸注射致面瘫的MRI表现,发表在国际美容整形外科学会(ISAPS)的官方期刊上,具有很高的学术价值。请您从更宏观的视角谈谈:作为旗舰中心,北京中心在技术储备、质量控制、科研能力等方面,是如何定义“行业标杆”的?这种标杆效应,又如何辐射到集团旗下其他中心,以此带动整体服务能力的提升?
倪佳眉 | Jiamei Ni
北京影像中心主任
北京中心作为一脉阳光集团规模最大、设备最全的旗舰型中心,始终坚持以科研技术为基础、以质量控制为核心、以服务能力为标准的战略定位,系统推进各项工作。在技术储备上,已具备超越公立三甲医院的技术实力;在质量控制方面,已从行业通行的二级质控升级为“计算机+人工”协同的三级质控体系,全方位保障医疗质量。在科研能力建设上,不仅继续为临床单位提供科研数据加工服务,更积极与高等院校合作开展课题研究与项目立项,实现了从“服务科研”到“发起科研”的跨越。
作为独立第三方医学影像中心,北京中心始终秉持为公立医院提供差异化服务的核心发展理念,致力于满足临床医生的影像技术需求,并为患者提供高效、优质的影像服务。这也是中国独立影像中心建设的重要标准与实践方向。
战略品宣 | 记者:随着精准医疗时代的到来,影像医生正从幕后支持者,逐渐走向“参与决策”的临床协作者。在这项研究中,影像发现直接影响了“是否需要手术减压”的治疗决策。您认为,未来影像医生在临床诊疗中的地位将发生怎样的变化?一脉阳光作为第三方医学影像服务领航者,将如何培养“懂临床、能科研、会AI、知协作”的复合型影像人才,以适应这一趋势?
倪佳眉 | Jiamei Ni
北京影像中心主任
传统影像医生的工作模式通常局限于在电脑前审阅图像并出具诊断报告。这种方式已难以满足临床医生的实际需求,也与患者就医的根本目的相背离,常因临床信息掌握不全而导致漏诊或诊断偏差。为改变这一现状,自2020年开业以来,北京中心始终秉持“影像医生走进临床”的理念,鼓励并要求影像医生积累临床知识、参与临床会诊,并加强临床疾病相关培训。通过每周病例讨论、疑难病例会诊、最新文献学习等形式,历经六年,我们打造了一支既懂影像又懂临床的复合型影像科医生队伍。
在提升临床疾病认知的同时,团队也进一步强化了科研能力的建设,不仅能满足临床诊断需求,还可胜任科研课题的设计与布局。在人工智能应用日益普及的时代,我们的影像医生不仅熟练掌握AI辅助诊断工具,更深谙AI在辅助诊疗中的实际应用逻辑,最终形成了一支具备多元能力的复合型影像人才团队。
15例患者,从“看不见”的病因到“看得清”的损伤,从保守治疗无效到影像引导下的精准手术,无不体现了医学影像在整个医疗体系中的价值。
影像是临床的眼睛,而一脉阳光的使命,是让这双眼睛看得更深、更准、更远。
在中心主任倪佳眉看来,每一篇国际期刊论文的背后,都是一个团队的成长。“我们培养的不仅是会操作设备的技师,更是懂临床、能科研、有担当的影像人才。”从数据采集的精准把控,到后处理技术的精益求精,再到与临床专家的深度协作——一脉阳光正在锻造一支既能扎根一线、又能仰望星空的影像力量。
当一个个临床难题被影像之光照亮,一脉阳光将继续以精准影像为基石,以科研创新为驱动,以人才培养为根本,做临床最信赖的“眼睛”,做患者最坚实的“后盾”。
因为每一张清晰的图像背后,都关乎一个人的未来
